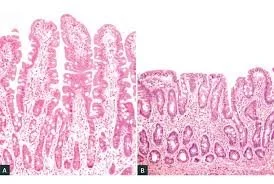
Você saberia interpretar este exame?
Falo sobre esta interpretação neste vídeo:
Resumidamente, o resultado acima mostra uma predisposição genética ausente ou muito baixa para doença celíaca. Para haver predisposição significativa à doença celíaca, é necessário ter DQ2.5 completo (DQA105 + DQB102) ou DQ8 completo (DQA103 + DQB103:02), os quais não estão presentes no seu caso.
A presença isolada de DQA1*05 sem o alelo DQB1*02 confere risco mínimo ou quase nulo. Sem DQ2 e sem DQ8, a possibilidade de doença celíaca fica praticamente excluída, dada a altíssima sensibilidade negativa desse teste (praticamente 100%).
Lembre contudo, que o resultado positivo (com DQ2 ou DQ8) sozinho não confirmaria a doença celíaca, já que muitos portadores dessas variantes genéticas não desenvolvem a doença.
Estatísticas de prevalência
Mais de 95% dos celíacos possuem DQ2, e os demais 5–10% tipicamente têm DQ8.
No entanto, cerca de 30–40% da população geral carrega essas variantes genéticas sem desenvolver a doença.
Precisa de ajuda? Marque aqui sua consulta de nutrição online

