O glioblastoma (GBM) é um dos tipos de câncer mais agressivos que podem ocorrer no cérebro ou na medula espinhal. Este câncer tem uma das maiores taxas de mortalidade para tumores cerebrais primários. A maioria dos diagnósticos dura de 11 a 18 meses.
Uma opção para atenuar o crescimento de células de glioblastoma é a dieta cetogênica. A maioria dos cânceres, especialmente o glioblastoma, depende do metabolismo da fermentação para criar ATP. As anormalidades da estrutura e função mitocondrial no GBM impulsionam a dependência deste câncer para o metabolismo da fermentação.
A presença de glicose e glutamina na dieta aumenta a fermentação e impulsiona ainda mais o crescimento das células do glioblastoma. Os produtos residuais da fermentação incluem ácido láctico, ácido glutâmico e ácido succínico, que acidificam o microambiente do GBM gerando, em parte, a resistência aos medicamentos, imunossupressão e aumento do risco de metástases.
O tratamento atual para pacientes com GBM inclui cirurgia, radiação, quimioterapia e uso de esteróides. Infelizmente, estes tratamentos podem acidificar ainda mais o microambiente do GBM, impulsionando seu crescimento (Seyfried et al., 2019).
Existem evidências de que a sobrevida é menor em pacientes com GBM com níveis mais elevados de glicose no sangue do que em pacientes com níveis mais baixos de glicose no sangue. Muitas vezes, esteróides são prescritos juntamente com tratamentos padrão para reduzir o edema que resulta da ruptura da barreira hematoencefálica. Contudo, esses esteróides aumentam ainda mais os níveis de glicose no sangue, impulsionando o crescimento do tumor (Seyfried et al., 2022).
A restrição dietética de carboidratos pode diminuir a acidificação do microambiente através da diminuição da inflamação, da angiogênese e do aumento da apoptose das células tumorais.
Os GBM são incapazes de usar corpos cetônicos para produzir ATP. Assim, garantir que os níveis de cetonas sejam elevados pode desempenhar um papel fundamental na supressão do crescimento destas células tumorais. A diminuição dos níveis de glicose no sangue diminui o fator de crescimento semelhante à insulina 1, que é um conhecido fator de crescimento do tumor.
Junto à dieta podem ser utilizados medicamentos antagonistas da glutamina (Mukherjee et al., 2019). A oxigenoterapia hiperbárica juntamente com a cetose terapêutica também demonstrou diminuir a angiogênese e a inflamação do microambiente (Seyfried et al., 2017) e aumenta a sobrevida em até 8 anos (Seyfried et al., 2021).
Uma paciente procurou-me para iniciar a dieta cetogênica terapêutica. Estava acima do peso, consumia doces, tem plano de saúde, estava sentindo mais cansaço e indisposição para cozinhar. Apesar de não ideal fizemos algumas alterações possíveis como a troca de doces por bolinhos de caneca feitos no microondas, muitas saladas eram compradas já prontas ou lavadas e misturadas com maionese sem açúcar e sardinhas em óleo.
A família ajudava nas compras e transporte às terapias (quimioterapia e consultas médicas). Com o passar do tempo foi sentindo-se melhor e passou a fazer omeletes com salada, tomates assados com queijo, carnes com vegetais na manteiga, iogurtes com morangos e TCM, abacate amassado com cacau, suplementada com 2g de carnitina e eletrólitos. A dieta evoluiu de uma dieta 1:1 para uma dieta 1,5:1 (entenda mais aqui).
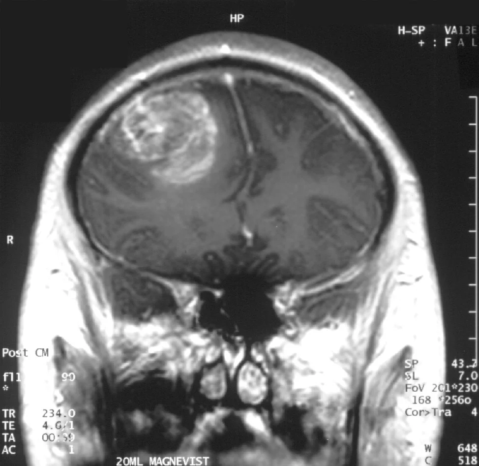
Com alguns ciclos de radioterapia sua imunidade piorou e o cansaço voltou. Contratou uma cozinheira para o preparo das refeições. Com a ajuda conseguiu manter-se na dieta. Esta estratégia, combinada com a radioterapia reduziu o glioblastoma no exame de imagem a um tamanho imperceptível. Após 40 meses de tratamento está dentro do peso ideal e sente-se menos cansada. Encontra-se bem fisicamente e segue mantendo os níveis de cetonas entre 1-2 mmol/L. Sua maior motivação para continuar é poder ver os netos crescendo.

